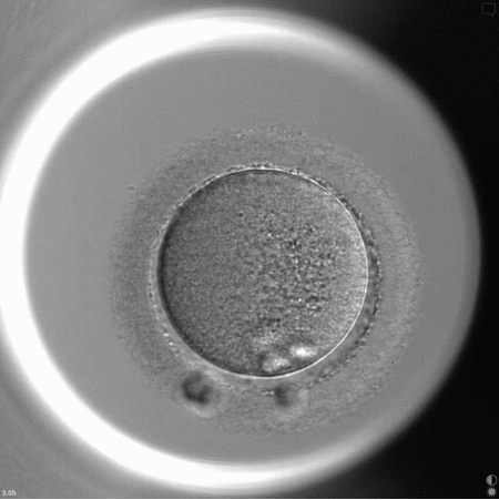
El Banco de Imágenes de ASEBIR,impulsado por el Grupo de Interés de Embriología (GIE), es una herramienta educativa creada para mejorar la valoración embrionaria mediante imágenes de referencia y recursos visuales. Su objetivo es difundir la clasificación embrionaria ASEBIR y apoyar a profesionales y estudiantes en su formación continua.


